立即预约

了解单牙缺失

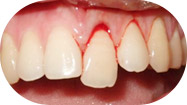
对于单颗牙齿缺失最好的治疗方法就是牙齿种植。“立得用”种植牙体系当天种植,当天戴牙冠,当天可吃饭。

牙掉了,怎么办?点击咨询医生>>

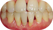
牙掉了,牙磕了,真的不用管它吗?

缺一颗牙不补 越掉越多

引发营养不良 少活十年

022-88825888
点击预约口腔检查 >

先进种植牙技术同步欧美

立得用种植牙体系 全程保障种植牙疗效

" 立得用"种植牙体系不是一项单一种植牙技术,而是一套完整的种植牙体系。突出特点:”立种立食“,当天种植, 当天即可回家吃饭咀嚼。

1拍片确诊

2专家会诊

3三维重建

4微创安全

5精准快速

6TCI全程无痛

7当天用新牙

8咀嚼力强

9美观耐用

四大优势 引领种植牙口腔医学革命

022-88825888
点击帮您预约专家 >

种植修复·保障疗效

为您用心做好每一颗种植牙

您是哪颗牙齿缺失?

点击在线申请口腔全面检查

022-88825888
点击预约口腔检查 >

国家二级口腔专科医院种植专家

20余年种植经验近万例成功种植案例

数万成功种植案例

当天即享美食

全国连锁·国家二级口腔专科医院

北京立得用口腔医学研究院合作单位

天津市中诺口腔医院(全国连锁·国家二级口腔专科医院)集二级口腔全院之力,打造天津专业种植牙医院,顾客转介绍率高达97%,种植牙口碑好评率≥98%,天津市中诺口腔医院被顾客亲切称为“第三副牙齿的诞生地”。

单颗牙缺失种植导航

99%顾客选择在线咨询

中诺专家介绍 种一颗牙所需要时间>> 中诺专家介绍 单颗种植牙的注意事项>> 单颗种植牙费用 天津市中诺口腔医院更平价>> 种一颗牙费用 天津市中诺口腔医院更平价>>