中诺口腔正畸“福利月”
报名就送正畸初检套餐美学矫正 4800元
- 哪种矫正方式更适合
- 矫正需要多久时间
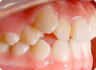
- 查矫正是否需要拔牙
- 预估整口牙矫正价格
- 预知矫正后的效果
- 目前矫正优惠活动
4大主流矫正方法 轻松打造完美笑容
-
美观舒适的隐形矫正
技术介绍
摆脱"钢牙"束缚,有效减少矫正过程中的不适感,比普通矫正舒适、柔和。
技术优势
1、美观舒适 2、舒适可摘戴 3、量齿定做
-
经济舒适的自锁矫治
技术介绍
利用锁扣技术,口内没有接扎钢丝,牙齿移动方便、快速、舒适。
技术优势
1、经济实惠 2、适应症广 3、治疗效果佳
-
美观轻盈的陶瓷矫治
技术介绍
其原理和自锁托槽一样,托槽采用航天民用的特殊透明陶瓷,与牙齿浑然一体,极具隐蔽性!
技术优势
1、隐蔽性高 2、小巧轻盈 3、复诊次数少
-
专属儿童功能性矫治
技术介绍
特殊矫牙技术提前干预性治疗牙齿畸形,对儿童早期地包天治疗有显著效果。
技术优势
1、效果显著 2、治疗周期短 3、无需托槽、钢丝
在线咨询适合自己的矫正方案
矫正加速器矫正更快速、舒适
中诺口腔引进矫正加速技术——美速达加速矫正器,获得了美国FDA认证,采用柔和的Softpulse技术(光脉冲技术),传递到牙齿根周围的骨骼插槽,有助于加快细胞反应和牙齿的移动速度。与正畸治疗一起使用,牙齿矫正时间缩短一半,并且可以减轻矫正带来的不适感。
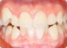
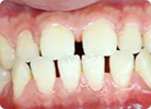
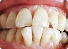
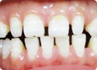
牙齿矫正 会给您带来更多美好改变
女孩的下巴通过正畸恢复到正常位置
侧颜看起来更加端庄
牙齿矫正后笑容更甜美,整体颜值上升
牙齿矫正 常见问题解答
- Q隐形牙齿矫正需要拔牙吗?
- 是否需要拔牙要看牙列的空间是否足够,如果牙列空间不够,则需要拔牙矫正。
- Q牙齿矫正需要多长时间?
- 牙齿矫正修复的时间一般在一年到两年之间,因为有很多因素影响着牙齿矫正时间,所以这个时间因人而异。
- Q18岁以后还可以做牙齿矫正吗?
- 18岁以后还可以进行成人正畸,此时正畸可通 过调整牙的轴向以恢复咀嚼、语言、颞下颌关节的功能,改善颜面的美观。
- Q矫正以后会反弹吗?
- 矫正完成后牙齿恢复整齐美观,只要注意带保持器就不会反弹。
- Q带牙套会导致牙套脸 颧骨变高吗?
- 颧骨是不会改变的,是将牙齿排列整齐,不会对骨头产生变化。