假牙易藏污纳垢,清洁不当,其表面、凹槽、金属钩环处残留的食物残渣会形成菌斑,长期积累可引发龋病、牙周病、口臭、口腔溃疡等口腔局部疾病。
先进行内提升/外提升等骨培植3-6个月愈合期进行种植手术,术后漫长恢复期
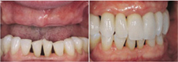
利用4颗种植体,于两颗前牙部位的种植体垂直植入牙槽骨内,而两颗中远部位的种植体采取倾斜角度植入牙槽骨内,然后在种植体的基台上安装拱形连桥牙冠,从而实现半口缺失牙完美修复
医院针对每个种植病例进行认真评估、沟通后设定对顾客科学的种植治疗方案。
天津市中诺口腔医院(全国连锁·国家二级口腔专科医院)对医生队伍有着严格的要求,有着丰富的口腔种植经验,每人均超过十年以上,并出国深造参与学术交流与学习。
自建院以来,很多知识分子,退休高干,社会名流都选择来中诺口腔医院种牙;还有很多市民在种牙之后,便让自己的亲戚朋友也过来天津市中诺口腔医院种牙;更有来自外地包括山东、河北、山西等地的缺牙者到院后种牙后纷纷表示,种牙还是中诺,信得过,质量好,持久坚固耐用,并对天津市中诺口腔医院"立得用"种牙技术表示十分满意。