立即预约

立得用种植体系

解决各类缺牙问题

想做种植牙

却遇到这些问题

立得用种植体系

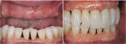
30分钟重生全口牙

"立得用"突破传统种植牙技术,只需种入2-8颗种植体,就可以恢复半口牙(全口牙)的咀嚼功能,在顾客口腔状态符合的条件下,可以实现,当天戴牙冠吃东西。

立得用种植体系

突破牙槽骨条件限制

骨量不足顾客进行种植修复时,由于牙齿缺失使缺牙区的牙槽骨被吸收,造成骨量不足,给植牙带来一大难题。"立得用"种植牙体系将顾客的牙床进行重塑,增加牙槽骨的高度及宽度,从而满足种植牙需要的骨量,使因自身牙槽骨量不足不能进行植牙的顾客也可实现牙种植。

立得用种植体系

后牙种植恢复咀嚼力

后牙咀嚼功能重建种植技术 ,采用先进的"光学取模",3D数码定位系统,将种植牙精准植入口腔 ,与后牙牙骨紧密结合,具有很强的固位力和稳定性,能完美恢复后牙咀嚼能力,种牙后"想吃就吃"。

立得用种植体系

"立得用"种植牙体系是指拔牙后同期植入种植体的种植技术,具有立刻有效防止牙槽的吸收萎缩和病变,立刻镶复过渡义齿,立刻恢复面容美观的功能,一次修复,无需往返医院,能缩短疗程,降低费用 。

立得用种植体系

攻克高龄疑难种植

突破1

牙槽骨条件的限制

突破2

种植牙人群年龄限制

突破3

三高人群种植牙限制

特邀北大种植专家领衔坐诊

立得用种植体系

更多成功案例见证

    全口无牙很忧心 30分钟种好满口牙

    食海"无牙"苦喝粥 种好牙天天吃烤鸭

    满口缺牙老伯 当天用牙

作为北京立得用口腔医学研究院合作单位,专注专精高龄疑难半口、全口种植牙,天津中诺口腔集二级口腔全院之力,打造天津专业种植牙医院。
好的种植牙用事实说话,用效果验证,让数万名种牙顾客来回答。截止到目前为止选择立得用种植牙顾客已突破数万人次。